你需要知道的血清使用常见问题及应对方法
1. 如何解冻血清才不会使产品质量受损

将血清从低温冰箱取出后,先于 2-8℃ 冰箱放置 12-24 小时使之部分溶解,然后在室温下使之全溶;但必须注意的是,溶解过程中必须规则地摇晃均匀。切勿将刚刚从-20℃ 冰箱里拿出来的血清直接放在水浴中,无论室温的水或者 37℃ 的水; 因为在水浴中血清迅速融化,过大的温差变 (-20℃→37℃,温差为 57℃) 极其容易造成血清析出沉淀。从低温冰箱取出血清直接置于 56℃ 水浴中更是极其残忍的做法,是对血清的不负责任,对科学规则的无情践踏 !
血清应该置于-15℃ 以下保存;若一次无法用完一瓶,应该无菌分装,再冷冻保存,避免反复冻融。
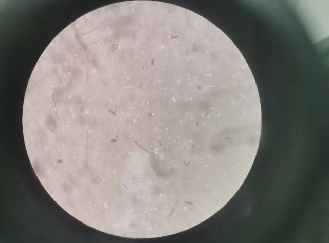
2. 血清中可能出现的沉淀物是什么?

纤维蛋白:它是经常出现的较大的沉淀物,可以达到 1-2 mm,可以用肉眼观察到。
磷酸钙:它也是常见的一种沉淀物,通常会使血清出现浑浊,并且在 37℃ 培养的时候会增加。这种沉淀物在倒置显微镜下观察像小黑点,这些小黑点由于布朗运动看上去可以活动,因此经常被误认为是微生物污染。
胆固醇、脂肪酸酯以及一些蛋白质:它们也是血清中出现沉淀物的常见原因。
关于细胞生长,我们的试验以及经验表明沉淀物不会影响细胞培养。
3. 为什么要热灭活血清? 有必要热灭活吗?

加热可以灭活血清中的补体系统,使补体去活化。通常未灭活的补体能够刺激平滑肌收缩、肥大细胞和血小板组胺的释放、激活淋巴细胞和巨细胞,同时还能够参与溶解细胞的过程。
诸多研究表明大多数细胞的培养无须进行血清的热灭活: 而在免疫学研究和 ES 细胞、昆虫细胞、平滑肌细胞的培养过程中,推荐使用热灭活血清。实验显示,经正确热灭活处理的血清,对细胞的生长只有做小的促进或完全没有促进作用,而通常因为高温处理影响了血洁的质量,造成细胞生长速率降低。并且热处理过的血清,沉淀物明显增多,倒置显微镜下观察呈「小黑点」,往往会使研究者误以为是血清受到了污染,而把血清放于 37℃ 中,沉淀物又会更增多,又会使研究者误认为是微生物的分裂增殖。因此,我们建议,若非必须,可以不进行热处理,既节省时间又确保质量。
4. 如何避免沉淀物的产生?

温度过高、时间过么、摇晃不均匀等,都会造成沉淀增多; 我们建议,如非必要,无须对血清进行灭活: 若必须热灭活,应严格遵守 56℃℃、30 min 的原则,并随时摇晃均匀。
5. 保存血清的方法是什么?

需长期保存的血清必须储存于-15℃ 或者更低温冰箱中,研究表明,储存在-80℃ 下的血清在性能方面没有任何变化,但解冻时巨大的温差会导致更多沉淀的产生,故不建议-80℃ 储存。血清在 2-8℃ 冰箱存放时间请勿超过 1 个月;若一次无法用完 1 瓶,建议分装后保存,避免反复冻融。另外,血清结冰体积会增加约 10%,分装时请预留一定的体积空问。