作为一个与死神照过面的人,我的心态是这样的——震惊!我三高不高,体检正常,怎么就进医院了呢。
先介绍一下我自己,我叫老赵,今年刚满五十八岁,身体健康,即无不良嗜好,也无过往病史,虽然平时喜欢喝点小酒,但血脂血压血糖指标都正常。结果突然有一天我就住进了医院!这是什么原因呢?听我儿子说,两个月前,我脑梗死了,之后还被当成了「珍奇病例」,这段经历还是挺奇妙的。
原来生个病也可以「一鸣惊人」
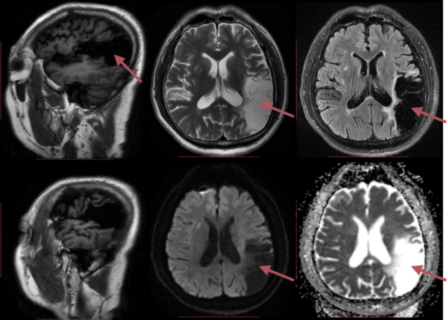
在一个阳光明媚的下午,我和往常一样,下楼溜弯,回家喂鸟,整两盘小菜,刚坐下喝了一口小酒就眼前一片黑暗,什么都不知道了。一向「健康」的我突然躺在地上一动不动,可把我儿子吓坏了,赶紧把我送到医院,医院检查结果竟然显示我左侧大脑大面积脑梗死,又做了头颈部 CTA 检查,结果发现头颈部血管并没有明显狭窄,那这是怎么回事?
导致脑梗死的原因竟然不是头颈部血管狭窄,那是啥?
经过进一步检查发现,发病原因竟然是升主动脉内长了「肿瘤」?之后来到安贞医院完善主动脉 CTA 检查,结果确实发现在升主动脉腔内漂着一个「肿瘤」,长径大约 4 cm,出血脑梗死可能就是这个「肿瘤」部分脱落导致血管梗塞。



我的主治医生告诉我儿子:我这病情(主动脉肿瘤)可实属罕见。于是当天他们赶紧组织了临床影像联合会诊。并基于术前诊断:主动脉漂浮血栓,鉴于病变比较大,已经发生重要脏器血管堵塞事件,于是实施手术治疗,术后病理也证实为主动脉血栓。
虽然在治疗中我全程处于麻醉昏迷状态,但是术后醒来我听了儿子的这些叙述也能够感受到当时的紧张形势。后来的后来,我健健康康的出院了。经此一病,我终于意识到,传统意义上的「健康」也不一定是真的健康,体检还是要定期做的。后来主任们说我的病例非常罕见,值得大家学习,于是在征得我的同意后展出在 2021 年盘古珍奇病例博物馆中,对此我由衷的感到开心。医生有经验真的很重要,在之后遇到和我类似这样的病情后可以临危不乱,冷静解决,能成为大家教科书一样的范本,我感到非常荣幸!
图说生命本真的艺术之旅
临床中有很多的罕见案例对于医学的发展有着不可估量的作用。主动脉疾病的影像资料、疑难杂症的判定、日常会诊中的经典案例都极具价值。而这些影像资料的正确判读很有可能会决定一个病人的未来。今年盘古大血管疾病论坛将继续举办「盘古珍奇病例博物馆」,组委会面向广大心血管外科从业者广泛征集珍奇病例的影像资料,用「出圈」的勇气推动生命科学领域的发展。
活动时间:2022 年 1 月 26 日-4 月 1 日
活动对象:主要面向全国心血管医生、影像科医生、外科医生,其他科室医生如能提供心血管方向病例也可参加
征集方向:心血管系统(包括主动脉、冠状动脉、心脏瓣膜、心肌及心包、肺血管及周围血管等)疑难少见的原创病例,及心血管疾病治疗相关的并发症,要求至少在发病率、诊断、治疗方案等方面具有交流价值。
征集内容:包括患者临床资料、检查影像资料、诊断结果,如有手术资料涉及到的创新产品也可展示
参与获得:入选将有机会在盘古珍奇病例博物馆现场展示并注明出处;更有收藏证书与精美礼品赠送!
参与报名(*你将离开丁香园,进入第三方网站)