患者情况
患者信息:
45 岁 男性
2020-10 体检发现:左肾肿物,双肺占位
2020-10 实验室检查:Hgb:90g/L,NEU#:7.94*109/L,PLT:405*109/L
既往史:高血压 2 级
影像学检查--基线
2020-12-14:

病理穿刺检查

临床诊断
左肾透明细胞癌伴肉瘤样分化 TxN0M1 IV期
IMDC 4分 高危(中性粒细胞升高、贫血、血小板升高,初诊至系统治疗时间<1年)
双肺转移
高血压2级
轻度贫血
帕博丽珠单抗+阿昔替尼在 IMDC 中高危组中生存获益明显


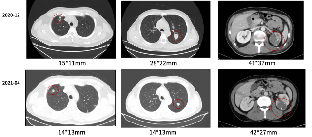
诊疗经过-1
2020-12 - 2021-09
一线:帕博丽珠单抗 + 阿昔替尼
治疗结局:复查评效 SD(缩小)

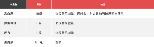
治疗结局:副反应

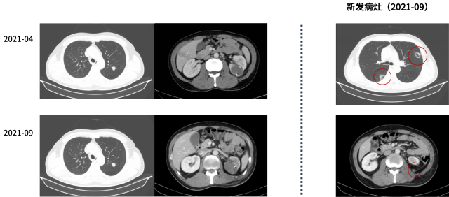
病情变化

临床诊断
左肾透明细胞癌伴肉瘤样分化 TxN0M1 IV 期
双肺转移
后腹膜转移
高血压 2 级
治疗选择
1 靶向联合免疫治疗
2 靶向治疗
3 免疫治疗
仑伐替尼+帕博丽珠单抗 PFS、OS、ORR 均优于仑伐替尼+依维莫司

诊疗经过-2
2021-09 - 2024-03
二线:帕博丽珠单抗+仑伐替尼
治疗结局:复查评效 SD

副反应

24 小时尿蛋白:

病情变化:疾病进展
2024-3-30

临床诊断
左肾透明细胞癌伴肉瘤样分化 TxN1M1 IV 期
双肺转移 纵膈、右肺门淋巴结转移 腹腔转移 右侧肾上腺转移
肌肉转移 后腹膜转移 骨转移 脑转移
高血压 2 级
MDT 讨论
肿瘤内科、神经外科、放疗科

ICIs 耐药的晚期 RCC 患者,继续靶免治疗增毒不增效

ICIs 耐药的晚期 RCC 患者,继续靶免治疗未获益

研究设计
伏罗尼布联合依维莫司对比舒尼替尼治疗免疫单药或联合 TKI 进展后的晚期肾细胞癌患者的多中心、随机对照研究
类型:多中心、前瞻性、随机对照研究
样本量:10 家中心、116 例

伏罗尼布-首个拥有中国自主知识产权肾癌小分子靶向自主创新药
亲和力高:分子结构设计上,通过引入二甲胺基甲酰基(C=O)与 VEGFR 形成额外氢键,引入 S-构型吡咯烷基分子构型固定;增加靶点亲和力
组织蓄积毒性低:「二甲胺基甲酰基」碱性降低,降低了磷脂生物膜的穿透性,降低了组织分布,避免了组织蓄积毒性
易代谢:「二甲胺基甲酰基吡咯烷基」具有更多的体内代谢位点,伏罗尼布和其 N-脱甲基代谢产物 X-297 具有更快的体内清除速率,消除相半衰期更短,可实现靶点的间歇抑制,降低毒性
伏罗尼布半衰期仅为舒尼替尼的 1/10,体内蓄积减少

CONCEPT 研究:关键注册研究 —— 随机、双盲双模拟、平行对照、多中心 Ⅲ 期临床研究

伏罗尼布联合依维莫司——第一个 OS 超过 30 个月

伏罗尼布联合依维莫司——ORR 24.8%

伏罗尼布联合依维莫司——安全性可控

诊疗经过-3
2024-04-
三线:伏罗尼布+依维莫司
脑转移的治疗

2024-04-至今
三线:伏罗尼布+依维莫司
脑转移放疗
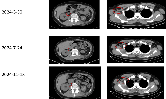
治疗结局:影像学评估 SD

治疗结局:影像学评估 SD

治疗结局:脑转移评估 强化灶消失

副反应管理

小结
左肾透明细胞癌伴肉瘤样分化 TxN1M1 IV期 IMDC 4 分高危

全程管理到慢病管理
治疗心得
靶免治疗失败后后线治疗如何选择可能让患者更加生存获益
靶向治疗,双靶向治疗
继续靶免治疗
加强副反应的管理:监测药物副反应(靶向、免疫副反应)
腹泻、手足皮肤综合征、蛋白尿
全身治疗和病灶局部治疗的联合应用
多学科的配合(MDT)