肾癌治疗药物研发历程

国内外权威指南晚期肾透明细胞癌二线治疗推荐

CONCEPT 研究:随机双盲对照多中心Ⅲ期注册临床研究

伏罗尼布联合依维莫司——第一个 OS 超过 30 个月

伏罗尼布联合依维莫司——ORR 24.8%

伏罗尼布联合依维莫司——安全性可控

伏罗尼布联合方案和单药方案常见不良反应

患者情况
患者信息:
黄** ,58 M , 既往史:高血压、2 型糖尿病、左肾结石
2009-5 因左侧腰痛完善影像学检查发现左肾占位
2009-5-12 行左肾肿物部分切除术
术后定期复查
临床诊断:
左肾透明肾细胞癌术后 T1aN0M0 I 期
高血压III级
2 型糖尿病
左肾结石碎石术后

病情变化
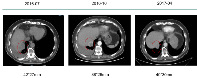
时间:2016-07

诊断:
左肾透明肾细胞癌术后 ,T1aN0M1 IV期 MSKCC分组:低危组
右膈上转移
右侧胸膜转移
右侧胸腔积液
诊疗经过-1
2016-07-2017-07
一线:多吉美
胸腔灌注:顺铂
影像学评估:SD -一线:多吉美

病情变化- 一线:多吉美

实验室检查

诊疗经过 - 二线治疗
二线治疗入组:随机双盲对照多中心评价 CM082 联合依维莫司治疗肾癌患者疗效和安全性的 II/III 期临床研究
用法:CM082/安慰剂 200mg qd+ 依维莫司 10mg/安慰剂 10mg/依维 莫司 5mg+安慰剂 5mg qd
揭盲
CM082 200mg qd+ 依维莫司 5mg qd
诊疗经过-2
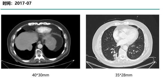
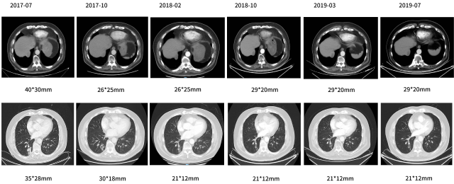
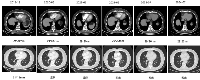
2017-07-25—
二线:CM082+依维莫司
影像学评估—最佳评效 PR

影像学评估

治疗副反应

24小时尿蛋白转归

24小时尿蛋白转归

小结

总结
肾癌一线治疗后目前以靶免 / 靶向治疗为主,但中国获批药物仅有依维莫司、阿昔替尼。
注册研究 CONCEPT 研究是国内开展的首个大规模晚期肾癌靶向治疗的双盲随机对照 III 期研究:
伏罗尼布联合依维莫司组中位 PFS 达到 10 个月,显著优于依维莫司单药组
伏罗尼布联合依维莫司组中位 OS 实现 30.4 个月,伏罗尼布单药组 OS 达到 30.5 个月,相比依维莫司单药组数值上有延长趋势;这也是首个 OS 超过 30 个月的二线 III 期研究
伏罗尼布联合依维莫司组安全性良好,整体可耐受
伏罗尼布联合依维莫司患者获得长生存病例。