患者:胡某 男 52 岁
主诉:右肾癌术后 15 年,肺转移术后 4 年余
现病史:患者于 15 年前因体检发现右肾肿瘤至外院就诊,完善检查后行「右肾切除术」,术后病理提示肿瘤,具体不详,术后未予治疗。4 年前咳嗽至郑州市人民医院检查,CT 示:右肺下叶团片状不规则高密度影,行活检提示:肺转移肾透明细胞癌。遂至我院胸外科就诊,完善检查后行胸腔镜下右肺中下叶切除术,术后病理:符合肾透明细胞癌肺转移,术后给予患者口服 「舒尼替尼」治疗半年后因不良反应自行停药。
现病史:(续)2023 年 6 月患者至杭州市第九人民医院复查 CT 提示双肺结节(最大径 14mm),考虑转移,并给予「阿昔替尼」疗;2024 年 7 月,再次至该院复查 CT 提示双肺多发结节(最大径 2.3cm),较前明显增大,部分考虑转移,纵膈淋巴结肿大,考虑转移。今患者为进一步治疗来我院就诊,以「右肾肿瘤术后肺转移」收入我科。
既往史、个人史及家族史:无特殊
PET-CT(2020.4.27)

CT 检查(2020.7.20)

外院病理会诊(2020.7.20)

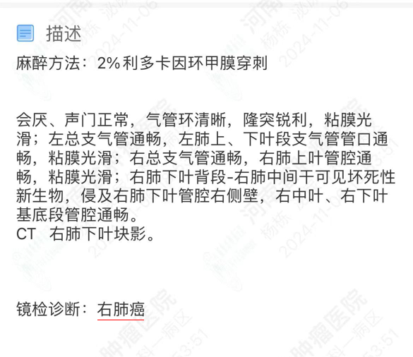
气管镜检查(2020.7.22)

手术及术后病理(2020.7.30)

术后复查(2020.12.15)

术后复查(2020.12.15)

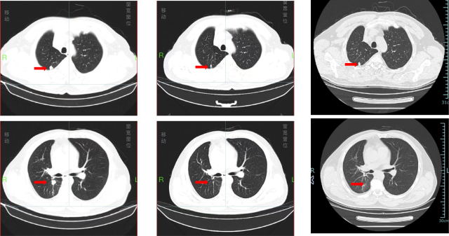
术后复查(2023.6-2024.7)
2023 年 6 月患者至杭州市第九人民医院复查 CT 提示双肺结节(最大径 14mm),考虑转移,并给予「阿昔替尼」治疗;
2024 年 7 月,再次至该院复查 CT 提示双肺多发结节(最大径 2.3cm),较前明显增大,部分考虑转移,纵膈淋巴结肿大,考虑转移。
进入我科 CT 检查(2024.7.10)


PET-CT 检查(2024.7.11)

肺穿刺活检病理(2024.7.18)

治疗方案(2024.7.10)
诊断:右肾癌术后多发转移(TxN1M1)
治疗:伏罗尼布联合依维莫司
复查(2024.10.29)

复查(2024.10.29)

复查(2025.4.16)

治疗前后的比较(2024.7.10 VS. 2024.10.29 VS. 2025.4.16)

治疗前后的比较(2024.7.10 VS. 2024.10.29 VS. 2025.4.16)

诊疗过程汇总

问题与思考
肾癌根治术后,病理存在高危因素,是否给予辅助治疗及使用时长?
晚期肾癌患者 TKI+PD-1 治疗后病灶稳定,药物治疗是否调整?
晚期肾癌患者 TKI+PD-1 治疗后病灶消失,药物治疗是否调整?