患者基线情况
性别:男 ,年龄:77 岁
主诉:查体发现右肾占位 7 天
现病史:患者于 2024 年 5 月 18 日行腹部 CT 平扫显示,右肾上级占位,密度欠均匀,大小约 5.5X7.3cm,行强化 CT 示右肾占位,考虑透明细胞 ca 可能性大,双肺多发结节,不除外转移。患者无腰背部胀痛,无血尿,无尿频,尿急,尿痛等症状,无排尿困难,无发热等症状,未行特殊治疗,患者为求进一步诊治,来我院门诊就诊,门诊以「右肾肿瘤」 收入院。
既往病史:高血压病史 5 年余,口服硝苯地平等药物治疗。抑郁病史 4 年余。

ECT 判断分肾功能

诊断
全身评价:胸部 CT 示双肺多发转移,转移不除外;ECT 肾功能显像示右肾功能中度受损
临床诊断:右肾肿瘤;肺转移病灶
临床分期:T2N0M1 IV期
治疗
1. 腹腔镜右肾根治性切除术

(右肾) 肾细胞癌 , 结合免疫组化 , 考虑为透明细胞性肾细胞癌,WHO/ISUP 分级 G3 级,肿物切面积 7.5*6.5 cm, 肿瘤侵及肾窦脂肪组织,未查见明确肾被膜及肾盂侵犯,未查见明确脉管内癌栓 , 输尿管断端及肾门血管断端未查见癌。
2. 患者属于低危,国内指南推荐单靶治疗一线治疗,给予培唑帕尼靶向药物口服治疗
2024.6.16 给与培唑帕尼 800mg qd 治疗,患者腹泻超 10 次 / 天,伴随高血压,考虑到患者基线高血压情况,重点对腹泻进行应对。
3.不良反应处理
2024 年 6.25 开始减量至 600mg qd,同时服用蒙脱石散,腹泻仍 7-8 次,属于 3 级 AE。
Q:患者表示难以忍受,无法正常生活。此时是维持治疗方案还是更换治疗方案?
一线治疗不耐受后换药再次治疗应视为二线治疗
肿瘤二线治疗是在初始治疗(一线治疗)失败、停止工作或出现不耐受的副作用后对肿瘤病症的进一步治疗。
诊断后用于治疗癌症的初始治疗称为一线治疗,一线治疗可以包括一种以上的治疗方法。
二线或后线治疗(三线、四线等)可能出于几个不同的原因:
一线治疗无效
一线治疗有部分疗效,但后续逐步耐受失效
一线治疗有无法耐受的副作用
一种新的治疗方法似乎比目前的治疗方法更有效。
CONCEPT 研究:随机双盲对照多中心 Ⅲ 期注册临床研究

伏罗尼布单药 OS 超过 30 个月

不良反应不耐受也是治疗失败,可以考虑更换治疗方案。
指南推荐伏罗尼布+依维莫司治疗,考虑患者培唑帕尼一线不良反应不耐受,结合研究伏罗尼布单药安全性比双靶联合耐受性更好,同时经济性更好,与患者充分沟通之后选择伏罗尼布单药序贯治疗。
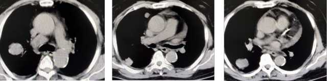
2024 年 10 月复查胸腹 CT
右肾切除术后态,局部低密度与肝脏及右肾上腺分界不清,请结合临床
双肺多发结节及肿块,纵隔肿大淋巴结,考虑转移支气管炎
心脏增大,心包积液,冠状动脉钙化左肾囊肿可能,请结合超声左肾周桥隔增厚


病例小结
2024 年 5.18 体检发现右肾肿物,同月行右肾根治性切除术。
77 岁,男性患者,2024 年 5 月患者体检发现右肾肿物,双肺结节,不排除转移。
行右肾根治性切除术,术后病理诊断结果为:右肾透明细胞癌,WHO/ISUP 分级 G3 级,肿物切面积 7.5*6.5 cm, 肿瘤侵及肾窦脂肪组织。
2024.6-7 月患者一线服用培唑帕尼
2024.6.11 给与培唑帕尼 800mg qd 治疗,患者腹泻超 10 次 / 天,高血压。
6.25 开始减量至 600mg qd,同时服用蒙脱石散,腹泻仍 7-8 次,属于 3 级 AE。
2024.7.12-10.13 换用伏罗尼布单药
2024.7.13 开始服用伏罗尼布,10.13 复查 CT,双肺多发结节,大者位于右肺下叶,长径约 3.8cm,纵隔内见肿大淋巴结,长径约 3.7cm。
2024.10.13-2025.2.27 继续伏罗尼布单药
2025.2.27 复查 CT,右肺下叶结节 2.1cm,纵隔淋巴结 3.7cm。
安全性:高血压较前无明显变化,无腹泻,头发变白。
评估 pr
2025.5 月
待复查
病例总结和思考
1. 该例患者为初诊的晚期肾癌,术后给予培唑帕尼 800mg qd 靶向治疗,患者高血压,同时腹泻超 10 次 / 天,减小剂量至 600mg qd 腹泻仍达 7-8 次 / 天,属于三级 AE,患者无法忍受,更换伏罗尼布单药。
2. 伏罗尼布单药安全性良好,患者更易耐受,CONCEPT 研究伏罗尼布单药组因不良反应永久停药比例仅有 3%;该病例患者更换伏罗尼布单药之后高血压较基线无变化,无腹泻,但出现头发变白。CONCEPT 研究伏罗尼布单药组 OS 超过 30 个月,该患者应用伏罗尼布单药已 10 月余,疗效评估 PR,5 月底待复查。
3. 对于一般状态良好的晚期肾癌患者,CN 联合靶向药物仍是可选择的治疗方案。