「精华」条件性基因敲除的那些坑

看了上几期的介绍,是不是觉得有了条件性基因敲除(CKO)就可以想敲哪里就敲哪里,想啥时候敲就啥时候敲,简直太美好了?
呵呵,虽然小编于心不忍,但还是要来给你泼泼冷水。
Cre-loxp 的那些坑,你踩过几个?
组织特异性 Cre 真的那么特异吗?
师妹:师兄,应该是肝脏特异表达的 Cre,怎么好像在脑里也有表达?
师兄:唉,理想是丰满的,而现实往往是骨感的。其实,Cre 的非特异性表达是普遍存在的啊!大部分 Cre 品系在其它组织中也有 Cre 活性。
由于 Cre 的非特异性表达导致基因敲除的脱靶,有可能在你不自知的时候直接影响到你的实验数据。
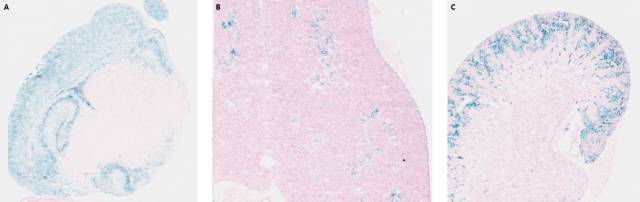
比如,受神经元特异性 Emx1(empty spiracles homolog 1)启动子驱动的 Cre 小鼠,除了在新皮质和海马中高表达 Cre 以外,在肾脏和胸腺中也会表达 Cre。

图 1. Emx1-Cre 在大脑(A)、胸腺(B)、肾脏(C)的表达。(图片来自 jaxlab)
师兄:如果 Cre 的脱靶发生在生殖细胞里,那就有可能直接得到全身性敲除小鼠了。还是以 Emx1-Cre 为例,研究发现在一小部分生殖细胞中也有 Cre 表达,并且雄性与雌性都可能出现这样的脱靶。
师妹:那我怎么知道有没有发生生殖系脱靶呢?
师兄:我们可以通过 PCR 方法发现是否发生了全身敲除。只需要在 flox 区域的上下游分别设计一条上游引物和一条下游引物(下图橙色箭头)。

如果发生了全身敲除,那么在做基因型鉴定 PCR 时,会出现一条最短的条带。将带有这条短带的小鼠移除即可。
我用的 GFAP-Cre 和你用的 GFAP-Cre 不一样?
师妹:我和文献里用的明明都是 GFAP-Cre,为什么表型差别这么大?
师兄:看看你买的 GFAP-Cre 全名叫啥?从哪来的?不同机构构建的 Cre 品系,Cre 的表达谱都不一样!

虽然 Cre 都受 glial fibrillary acidic protein promoter 驱动,但 Tg(GFAP-cre)8 Gtm 主要在星形胶质细胞中表达 Cre;而 Tg(GFAP-cre)25Mes 除了在中枢神经系统中的星形胶质细胞、少突神经胶质、室管膜以及一些神经元中表达 Cre,还在心内膜、肺血管内皮细胞、肝脏门静脉周细胞、附睾管中有 Cre 表达。这差别可不是一点半点呢。

图 2. Cre recombinase expression in Gfap-cre mice occurs in the endocardium (p), pulmonary vascular endothelium (q), endothelial cells of the liver portal system (r), ductus epididymis (s), islets of Langerhan’s and pancreatic duct endothelium (arrowheads) (t), as well as endometrial and glandular endometrial cells of the uterus (arrowheads) (u).(图片来自 Nat Commun. 2012;3:1218.)
师妹:看来购买 Cre 工具鼠可得小心谨慎。
师兄:是啊,所以说前期的文献工作很重要呢!
通过已发表的文献,可以知道主要在哪些组织或细胞中表达 Cre。
如果找不到 Cre 的相关文献,那么保险起见,还是将 Cre 小鼠与报告基因工具鼠交配一下,看看子代双阳性小鼠里哪些组织有报告基因的表达,那么就可以大致判断这种 Cre 小鼠是否合适了。
师妹:对了师兄,刚刚你那张表格是在哪里查到的?
师兄:是 MGI 的 Recombinase (cre) Activity 数据库哦。
http://www.informatics.jax.org/home/recombinase

可以按你想要查询的组织类型或特殊的启动子名称来查询相关的 Cre 工具鼠品系,很方便呢!
原来 Cre 小鼠用雌鼠和用雄鼠还不一样?
师妹:师兄,我应该用雄性 Cre 配雌性 flox 小鼠还是用雌性 Cre 配雄性 flox 小鼠呢?
师兄:这个问题要看你使用的是哪种 Cre 啦,有的 Cre 小鼠父性遗传与母性遗传的重组效率有所差别哦。
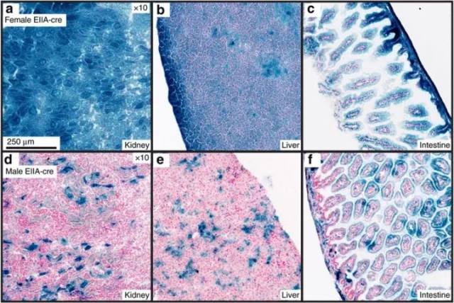
比如 EIIa-Cre,来自母本的 Cre 在肾脏、肝脏、肠、胰腺中具有广泛均匀的 Cre 活性,但在脾脏中呈马赛克式的镶嵌表达;而来自父本的 Cre 则都表现为镶嵌式的重组活性。所以用雌性 Cre 来交配效率更高。

图 3. 亲本的来源对 Cre 在体内的表达谱的影响。EIIa-Cre 与 Rosa26-LSL-lacZ 交配获得子代,lacZ 染色结果:(a-c) Cre 来自母本 ;(d-f) Cre 来自父本。(图片来自 Nat Commun. 2012;3:1218.)
师兄:还有一些 Cre 品系在卵母细胞减数分裂后会有 Cre mRNA 或蛋白的持续存在,即使这个卵母细胞本身并不带有 Cre 转基因。这时,用雌性 Cre 小鼠与 flox 小鼠交配可以更快地直接获得全身性基因敲除小鼠,比如:Ddx4-Cre 或 Sox2-Cre。
救命啊!我的 CKO 小鼠为什么基因还没被敲除?
师妹:师兄,我的 Cre 到底有没有起作用啊?为什么基因还在表达?
师兄:先别急,再做一次基因型鉴定试试。确定是 Flox 纯合子同时 Cre 阳性吗?
师妹:我已经 P 了 3 次了,错不了。
师兄:那你是怎么鉴定你要敲除的基因还在表达呢?
师妹:mRNA 水平都没有变化…
师兄:RealtimePCR 引物设计在哪?我记得你敲除的是基因的 exon6 吧,如果你的一对引物都设计在 exon6 之前,那么 exon1-5 还是有可能被转录出来,表达量上就可能看不出差异了。
师妹:哦,我明白了,那我重新设计引物试试。一条引物放在被敲除的 exon6 上。
师兄:如果真的没敲掉,说明你的 Cre 小鼠重组效率可能不容乐观啊。你也许要考虑找个全身性敲除的小鼠来交配一下,用 KO/Flox 杂合子同时 Cre 阳性的小鼠作为敲除组,这样 Cre 只需要在一个等位基因上起作用就可以了,敲除效率可能会提高一些。
另外,其实不同基因的 flox 有的容易被 Cre 重组,有的则比较困难。这可能是由于染色体的状态导致 Cre 酶比较难接近 loxp 位点的关系。
Cre 小鼠也会不育?
师妹:师兄,我用 flox 小鼠跟 Cre 小鼠交配了,但老是得不到实验组小鼠。我为了提高阳性小鼠的比例,还特意把 Cre 小鼠自交了呢。
师兄:你的 flox 基因和 Cre 不会是在同一条染色体上吧?
师妹:Flox 基因在 6 号染色体,Cre 我还真没注意。
Cre 如果是随机整合的,确实不好判断整合在什么地方。有可能插入到某个基因里破坏了这个基因的功能,如果是纯合子的话就可能有不育或者其它表型呢。
而且如果 Cre 活性过高可能引起在基因组中未知的 loxP 位点重组,从而引发敲除或异位,严重的会影响小鼠存活。
Cre 如果是 knockin 的,那从文献或资料中就能知道整合在哪条染色体上了。
一般 Cre 还是用杂合子小鼠比较稳妥。
广泛表达的 Cre 在所有组织表达都一样高?
师妹:为什么我用 CAG-CreER 小鼠在 Tamoxifen 诱导以后,有的组织敲除的好,有些组织不是那么理想呢?
师兄:你又真相了。哪怕是号称全身广泛表达的 Cre,在不同组织中还是会有所差异的。比如 CAG-CreER 在诱导后,在平滑肌、胰腺里表达要比在卵巢或脾脏中高。UBC-CreER 也有类似的情况。
诱导型 Cre 其实会漏?
师妹:为什么我还没给 Tamoxifen ,就已经能检测到 KO 条带了?
师兄:虽然理论上 Cre-ER 在没有 Tamoxifen 诱导时应该在细胞质内,而无法进入细胞核重组 loxp 位点。但实际上还有一些 Cre-ER 的小鼠即使在未诱导状态,仍会发生不同程度的 DNA 重组,比如:Tg(Ins2-cre/Esr1)1Dam、Tg(Tyr-cre/ERT2)13Bos 等。
看完这些是不是又觉得:天呐,原来 CKO 这么坑啊!
其实了解了,也就不用怕啦!
希望我们这一个系列的文章对正在使用 Cre 工具鼠的你能有所帮助,不用走太多弯路!
Reference
1. Gorski JA, Talley T, et al. Cortical excitatory neurons and glia, but not GABAergic neurons, are produced in the Emx1-expressing lineage. J Neurosci. 2002 Aug 1;22(15):6309-14.
2. Heffner CS, Herbert Pratt C, et al. Supporting conditional mouse mutagenesis with a comprehensive cre characterization resource. Nat Commun. 2012;3:1218.
3. Liu Y, Suckale J, et al. Tamoxifen-Independent Recombination in the RIP-CreER Mouse. PLoS One. 2010; 5(10): e13533.
4. Dankort D, Curley DP, et al. Braf(V600E) cooperates with Pten loss to induce metastatic melanoma. Nat Genet. 2009 May;41(5):544-52.
5. Vooijs M, Jonkers J, et al. A highly efficient ligand-regulated Cre recombinase mouse line shows that LoxP recombination is position dependent. EMBO Rep. 2001 Apr;2(4):292-7.
文章来源南模生物,更多技术资料详见:http://c.biomart.cn/modelorg/animal